surgical protocol
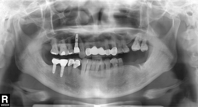
srt
01
SRT
| implant model | SRT |
|---|---|
| surgery date | 2017.01.26 |
| gender | Male |
| age | 50 |
02
SRT
| implant model | SRT |
|---|---|
| surgery date | 2012.11.09 |
| gender | Male |
| age | 55 |
03
SRT
| implant model | SRT |
|---|---|
| surgery date | 2013.01.06 |
| gender | Female |
| age | 46 |