surgical protocol
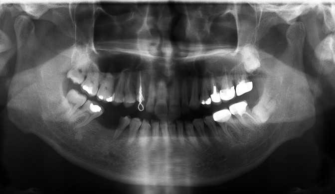
sst
01
SST
| implant model | SST |
|---|---|
| surgery date | 2010.06.09 |
| gender | Female |
| age | 30 |
02
SST
| implant model | SST |
|---|---|
| surgery date | 2011.06.23 |
| gender | Male |
| age | 49 |
03
SST
| implant model | SST |
|---|---|
| surgery date | 2010.06.15 |
| gender | Female |
| age | 32 |